最終受付は診療終了の30分前
24時間受付
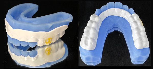
MOUTHGUARD
厚さ 2mm / 4mm
15色+クリア
プライトレッド
プライトイエロー
プライトブルー
プライトグリーン
プライトピンク
ピュアホワイト
ダークブルー
ライトブルー
マルーン
ディープグリーン
ディープレッド
ディープブラック
ゴールド
シルバー
オレンジ
厚さ 3mm
9色+クリア
ブルークリア
レッドクリア
ネオンレッド
ネオングリーン
アズルブルー
ホワイト
ブラック
レッド
イエロー
着用義務
一部着用義務
着用可
着用不可
※規定 14-3 人工の危機と異常な携帯品(日本ゴルフ協会)
競技
着用可能カラー
協会・連盟
野球(高校・大学)
ホワイト・クリアのみ
日本高校野球連盟・全日本大学野球連盟
バスケットボール
クリアのみ
日本バスケットボール協会
アメリカンフットボール
ホワイト・クリアを除く
日本アメリカンフットボール協会
ラグビー(13~15歳中学生)
レッド・ピンクを除く
日本ラグビーフットボール協会
ボクシング(アマチュア)
レッドを除く
日本ボクシング協会
テコンドー
ホワイト・クリア・レッドのみ
全日本テコンドー協会
空手※団体・大会によって異なる
クリアのみ
日本空手協会・全日本空手道連盟
ラクロス
ホワイト・クリアを除く
日本ラクロス協会
柔道
ホワイト・クリアのみ
全日本柔道協会
例:ボクシング、ラグビー、アメリカンフットボールなど
4㎜の厚さを使用
トリムライン
上顎骨の最大豊隆部を1㎜超えた位置に設定。後縁は、高校生までのラグビー選手は6番遠心にし、ボクシングや格闘技選手は7番遠心までの形状にします。
例:バスケットボール、水球、野球、サッカー、ラクロス(新たに義務化)、自転車、スケートボードなど
3~2㎜の厚さを使用
トリムライン
上顎骨の最大豊隆部に合わせたラインに設定。後縁は6番遠心までの形状にします。
4~3㎜の厚さを使用
トリムライン
上顎骨の最大豊隆部に合わせるか、歯頸部から1~2㎜離れた位置に設定。後縁は7番遠心までの形状とします。
3~2㎜の厚さを使用
トリムライン
上顎骨の最大豊隆部に合わせるか、歯頸部から1~2㎜離れた位置に設定。後縁は7番遠心までの形状とします。
2㎜の厚さを使用
トリムライン
上顎骨の最大豊隆部に合わせたラインに設定。後縁は6番遠心または7番近心までの形状とします。
※ご希望によりこの限りではございません。
例:ボクシング、ラグビー、アメリカンフットボールなど
4㎜の厚さを使用
構成
1枚目は4㎜、2枚目は1.5㎜、または1枚目3㎜、2枚目2㎜を使用。
注意
1枚目の外形は6番遠心まで、2枚目は7番遠心までとします(対合歯との関係は考慮しません)。
例:バスケットボール、水球、野球、サッカー、ラクロス(新たに義務化)、自転車、スケートボードなど
3~2㎜の厚さを使用
構成
1枚目は3㎜、2枚目2㎜、または1枚目2㎜、2枚目1.5㎜を使用。
注意
1枚目の外形は6番遠心まで、2枚目は7番遠心までとします(対合歯との関係は考慮しません)。
4~3㎜の厚さを使用
構成
1枚目は3㎜、2枚目2㎜、または1枚目2㎜、2枚目2㎜を使用。
3~2㎜の厚さを使用
構成
1枚目は3㎜、2枚目2㎜、または1枚目2㎜、2枚目2㎜を使用。
2㎜の厚さを使用
構成
1枚目は3㎜、2枚目2㎜、または1枚目2㎜、2枚目2㎜を使用。
※ご希望によりこの限りではございません。

適用スポーツ
野球・バスケット
カラー
9色+クリアー
プレイ中の事故から歯を守り、トレーニング時にも最適です。

適用スポーツ
野球・バスケット
カラー
15色+クリアー
Type1よりも1㎜薄いため、より快適に使用できます。

適用スポーツ
ラグビー
カラー
15色+クリアー
Type1よりも1㎜厚く、プレイ中の衝撃から歯をしっかり守ることができ、コンタクトスポーツやトレーニング時に最適です。

適用スポーツ
野球・バスケット・ラグビー
競技に合わせて唇面の厚さをコントロールでき、チームのロゴや名前、背番号を入れることが可能です。また、舌側をより薄く仕上げる事が可能な為、発音も良く幅広い競技に使用できます。

適用スポーツ
陸上
カラー
クリアー
type1,type2より更に薄くし違和感なくクリアーの為目立ちません。また、瞬発力を要するノンコンタクト競技に適しています。

適用スポーツ
陸上・ウェイトトレーニング
前歯は覆わず奥歯に隙間を作る事で、リラックス状態を保ち、集中力を向上させ歯の摩耗を防ぎます。

適用スポーツ
陸上・ウェイトトレーニング
Type6と同様。上顎ではなく下顎につけたい方に適しています。

適用スポーツ
陸上・ゴルフ
前歯唇側側2/3、舌側1/2の歯冠が覆われていない為、より喋りやすく、呼吸しやすくノンコンタクトスポーツに適しています。

適用スポーツ
陸上・ゴルフ・自転車・トレーニング
前歯を覆わない為、目立ちにくく唇側で連結しているので、違和感少なく、呼吸がしやすい。歯冠が短い方でも下顎に装着するので外れにくいです。上顎より下顎に装着したい方、自転車競技などリラックスして使用したい方に適しています。

適用スポーツ
ノンコンタクトスポーツ・トレーニング
唇側の歯冠2/3、舌側は覆いません。また前歯はクリアーの為目立ちにくく、違和感が少なく呼吸、発音がしやすい。また、リラックスして競技をしたい方に適しています。

適用スポーツ
陸上・ゴルフ・自転車・トレーニング
前歯を覆わない為、目立ちにくく唇側で連結しているので、違和感が少なく、呼吸がしやすい。歯冠が短い方でも下顎に装着するので外れにくいです。上顎より下顎に装着したい方、自転車競技などリラックスして使用したい方に適しています。

適用スポーツ
ウェイトトレーニング
ウェイトリフティングなどの強い咬合圧に耐えられるように、咬合する面は2枚重ねて厚くし、違和感を感じやすいところは薄くしています。
(オプション不可、ロゴ不可)

適用スポーツ
マウスガード&ホワイトニング
1枚目にホワイトニングにも適したシートを使い、2枚目にマウスガード用のシートを被せることでマウスガードとしてもホワイトニングとしても使う事ができます。
*ロゴはワンポイントのみです。*ホワイトニング剤は別途
基本的には同じです。ただし、楽器に口を付ける部分やスキューバダイビングで口にくわえる部分は「マウスピース」と呼ばれています。一方で、スポーツ用のものは「マウスガード」として知られることが多いです。また、他にも「マウスプロテクター」や「ガムシールド」と呼ばれることがあります。
市販のマウスガードにはいくつかデメリットがあります。手頃な価格の商品もありますが、口にしっかりフィットさせるのは難しく、異物感が強かったり、外れやすくなることがあります。話しにくい、呼吸がしづらいといった不便さを感じ、結局使わなくなる人も多いです。また、かみ合わせが合っていないと、顎に負担がかかり顎関節症を引き起こすこともあります。さらに、衝撃を受けた際に歯や顎が損傷するリスクもあるので、注意が必要です。
耐久性はスポーツの種類や使用頻度によって異なります。週に1回使用する場合と、毎日使用する場合では違いがあり、さらに噛む力によっても個人差が生じます。装着時にフィット感が悪くなったり、ずれやすくなったりしたときが交換の目安です。
治療が終わってからの作製をおすすめします。基本的には治療後に作るのが一般的です。理由は、虫歯治療で歯の形が変わると、マウスガードのフィット感が悪くなる可能性があるためです。ただし、かみ合わせに影響がない場合や、ごく小さな虫歯の治療であれば作製可能な場合もありますので、一度ご相談ください。
もちろん、ぜひお使いください。力が入りやすくなり、トレーニングの効果も向上しますし、食いしばりから歯や顎を守ることができます。
もちろん、できます。競技中に入れ歯をつけたまま使うか、外すか、あるいは歯がない部分や本数によって、入れ歯の上にマウスガードを装着するのか、外した状態で使用するのかを考えます。どちらにしても、安全にプレーするためにはマウスガードの使用をおすすめしますので、気軽に相談してください。
使用する際には、いくつか気をつけることがあります。使用後は流水で唾液をしっかり洗い流し、十分に水分を拭き取った後、専用のケースに入れて保管してください。また、歯ブラシで軽く磨くのもおすすめです。水をつけて歯を磨くようにすると、臭いを抑え、細菌の感染を防ぐのにも役立ちます。マウスピースや入れ歯用の洗浄剤も使用可能です。ただし、マウスガードは熱に弱いため、「熱さ」や「火」に注意が必要です。お湯で消毒したり熱湯をかけたりするのは絶対に避けてください。変形する恐れがあります。また、夏の暑い時期には、マウスガードをケースに入れたまま車のダッシュボードに長時間置かないようにしましょう。
はい、もちろん作れます。目的は、接触や予期せぬ事故から歯や脳を守り、精神的なショックを少しでも軽くすることです。小学生のうちからマウスガードに慣れておくことは大切です。ただし、まだ歯が生え変わったり顎が成長したりしている時期なので、最初に作ったマウスガードが合わなくなることがあります。靴や衣服と同様にサイズが変わることがあるため、その際は再度歯型を取らせていただきます。また、大人用のマウスガードと同じものを使用しますが、保護者の負担を少しでも軽くするために価格を低めに設定しています。
それは、かみ合わせを考慮するためです。当院のマウスガードは、しっかりしたかみ合わせを意識して作成しています。上下のすべての歯が均等に接触できるようにし、力をうまく分散させるようにしています。また、かむ面積が広くなることで脳への刺激が増し、筋力もアップします。だから、上下の歯型を取ることが重要なんです。
その状況に応じて対応します。通常はマウスガードを上の歯に装着しますが、反対咬合が大きい場合は下の歯に装着することもあります。軽度の反対咬合の場合は、前歯部分を厚くするなど調整して、上の歯に合わせることが一般的です。
はい、実際にそうです。個人差はありますが、入れ歯を使い始めてから飛距離が落ちて困っていた方がマウスガードを作りに来ました。完成後にプレーしたところ、飛距離が伸びたとおっしゃっており、その方が紹介した他の人たちも同様の効果を実感して驚いていました。当院のマウスガードは上下の歯型をしっかり取って、かみ合わせを考慮しているため、すべての歯が均等に接触できることが良い結果につながっていると思います。
使用後は流水でしっかりと洗い、唾液や汚れを取り除いてください。乾燥させた後、専用のケースに入れて保管します。
歯ブラシで優しく磨くことで、臭いを抑え、細菌の繁殖を防ぐことができます。水をつけて磨くと効果的です。
マウスガードは熱に弱いので、熱湯での消毒や高温の場所での保管は避けてください。変形の原因になります。
夏場などの暑い日には、車のダッシュボードなどの高温な場所に長時間置かないようにしましょう。
使用中にフィット感が悪くなったり、変形したりした場合は、早めに交換や調整を検討してください。
かみ合わせや口内の状態に応じて、必要に応じて相談しながら調整を行いましょう。
当院では、患者さまをできるだけお待たせしないために、診療は予約制となっております。まずは、お電話またはインターネット予約にて、予約をお取りください。
尚、急患の場合は、随時ご対応させていただきますので、痛みが酷い場合などはすぐにお電話にてご相談ください。
| 月 | 火 | 水 | 木 | 金 | 土 | 日 | |
|---|---|---|---|---|---|---|---|
| 9:30-13:00 | ● | ● | ● | ● | ● | ● | - |
| 14:00-18:00 | ● | ● | ● | ● | ● | ● | - |
| 休診日:日曜日 / 祝日 | |||||||
最終受付は診療終了の30分前
24時間受付