03-6456-0357

最終受付は診療終了の30分前

診療案内

TREATMENT INFORMATION

STAFF

スタッフ紹介

CLINIC

医院紹介

VISION

初めての方へ

MENU

診療メニュー

ACCESS

アクセス

PRICE

料金

BLOG

ブログ

TREATMENT MENU

診療メニュー

矯正治療

当院では、歯並びや噛み合わせでお悩みの患者様に最適な矯正治療をご提供しています。無料カウンセリングも行っておりますので、お気軽にご相談ください。矯正治療は、歯並びや噛み合わせを整え、美しい口元と健康を実現する治療法です。歯並びが整うことで、歯磨きがしやすくなり虫歯や歯周病を予防できます。また、噛み合わせが改善されることで、顎や全身への負担も軽減されます。当院では、ワイヤー矯正や透明なマウスピース矯正に対応し、丁寧な診断のもと患者様に合った治療プランをご提案します。ぜひ一度ご相談ください。

歯周病治療

歯科の2大疾患の一つである歯周病は、歯を支える組織に炎症が起こり、放置していると歯を失う可能性がある深刻な疾患です。歯を失う原因の第1位となっております。治療では歯石の除去やプラークコントロールを中心に行います。当院ではレーザーを使用した歯周病治療も行っております。手作業では届かない歯周ポケットの奥まで到達し、より精密に細菌を除去することができます。ブラッシング方法などのホームケア指導も同時に行い、歯を失うことがないような治療を行なっていきます。

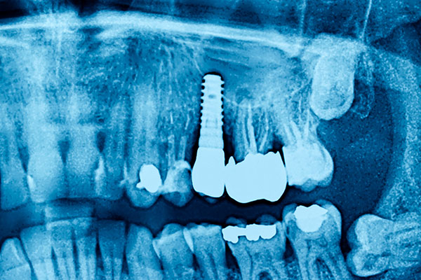
インプラント

当院では、歯を失った際にインプラント治療を行っています。これは、人工歯根を顎の骨に埋め込み、その上に人工の歯冠を装着する方法です。この治療により、天然の歯に近い見た目と機能を取り戻すことができます。インプラントは、ブリッジや入れ歯と比較して安定性が高く、隣接する健康な歯に負担をかけないため、長期的な口腔健康の維持に優れています。また、天然歯のような噛み心地を実感いただけるのも特徴です。当院ではインプラント専門医が歯科用CTを使用した精密な診断と、確かな技術で治療を行います。カウンセリングも承っておりますので、お気軽にご相談ください。

精密根管治療

当院ではマイクロスコープとラバーダム防湿を使用した精密根管治療を実施しています。虫歯菌が歯の根にある根管内の血管や神経まで感染したまま放置すると抜歯になることがあるため、感染した血管や神経を取り除く必要があります。この時に行う根管をきれいにする処置を精密根管治療といい、虫歯菌に感染した血管や神経をすべて取り除き、洗浄・殺菌した後、隙間なく薬剤を詰めて密封し、被せ物で補います。感染部を取り残してしまうと、虫歯菌の再感染や炎症の原因となるため、根管の中は徹底的に洗浄・殺菌する必要があります。マイクロスコープ用いることで、治療部を目で確認しながら治療することが可能になり、再発の少ない精密な根管治療を行うことができます。

小児歯科・矯正

子どもの歯や口の健康を専門家が診察する歯科治療です。お子さまの成長に伴い、虫歯や歯並びの問題を予防・治療するケアを行います。

審美治療/セラミック治療

歯の治療は基本的にお口の中の機能を回復させることを目的としていますが、当院では、歯やお口周りの審美性を向上させる治療メニューも取り揃えています。

顎関節症治療

顎関節症は、あごの痛みだけでなく、全身にさまざまなトラブルを引き起こすことがあります。歯ぎしりや食いしばり、かみ合わせの悪さが原因となることもあるため、まずはお気軽にご相談ください。

睡眠時無呼吸症候群
いびきの治療

睡眠中に何度も呼吸が止まる病気です。これにより、十分な酸素が体内に供給されず、日中の眠気、集中力の低下、さらには高血圧や心疾患のリスクが高まることがあります。

入れ歯・義歯

歯を失った、または失うことになった方にとって、最初の選択肢は入れ歯ではないでしょうか。当院では、定評のある技工所と提携し、使い心地の良い入れ歯をお作りしています。

精密むし歯治療

治療を繰り返すことで、歯は徐々に失われていきます。当院では、必要最小限の治療を行い、再治療を防ぐために精密な処置を心がけています。

予防歯科

歳を重ねても歯が健康であれば、質の高い生活を送ることができます。当院では、虫歯や歯周病によって歯を失うことがないよう、予防歯科に力を入れて取り組んでいます。

メタルフリー治療

歯の治療に金属を使わずに、セラミックやレジンといった金属が入っていない素材を使う治療で、見た目が自然なのと、金属アレルギーの心配も少なく、歯にも優しいです。

自家歯牙移植

かみ合う歯がないなどの理由で機能していない歯がある場合、その歯を歯を失った際の治療に活用することができます。

親知らずの治療

当院では、CTやオペ室を完備しているため、大学病院と同等の治療を提供することが可能です。他の歯科医院で抜歯が難しいと診断された方も、お気軽にご相談ください。

スポーツマウスガード

スポーツ中に歯や口の怪我を防ぐために使うマウスガード(口の中に入れる保護具)のことです。

年齢別の予防

年齢に応じた適切な方法で、歯と口の健康を守るためのケアを行います。

栄養指導

歯や口の健康を保つために食事や栄養のアドバイスを行います。

当院では、患者さまをできるだけお待たせしないために、診療は予約制となっております。まずは、お電話またはインターネット予約にて、予約をお取りください。

尚、急患の場合は、随時ご対応させていただきますので、痛みが酷い場合などはすぐにお電話にてご相談ください。

9:30-13:00
14:00-18:00
休診日:日曜日 / 祝日

03-6456-0357

最終受付は診療終了の30分前