最終受付は診療終了の30分前
24時間受付
DENTURE
当院では、1本の歯を大切にし、できるだけ抜かずに治療を進めています。それでも、どうしても歯を抜かなければならない場合や、事故やケガで歯を失った場合には、いくつかの治療方法をご提案しています。
まず最初に考えるのが入れ歯です。インプラントやブリッジと比べると、噛む機能や見た目の面では少し劣るかもしれませんが、後から別の治療を選びやすいという大きなメリットがあります。
当院では、評判の良い技工所と提携して、使いやすい入れ歯を作成しています。今使っている入れ歯に不満がある方も、調整や修理によって大きく改善することができますので、入れ歯についてお悩みの方や新たに検討されている方は、ぜひお気軽にご相談ください。

失った歯と同じように噛むことができ、見た目にも自然で、外れる心配がないインプラント治療の詳細は以下をご覧ください。
入れ歯が外れてしまう。痛い。使い心地が悪い。そのようなお悩みがあれば一度ご相談ください。調整や簡単な修理でも見違えるほどに使い心地が良くなる場合もあります。
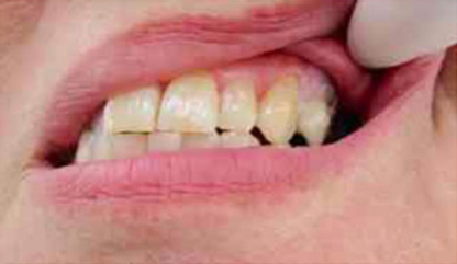
健康を保つためには、歯がとても大切です。もし歯を1本失ってしまうと、話すときに言葉が出にくくなったり、食べ物をしっかり噛むのが難しくなったりします。歯を失った場合には、どんな治療を受けるか考える必要がありますが、その中の一つが「入れ歯」です。
入れ歯は、失った歯の代わりに使う取り外し可能な道具です。すべての歯を失った場合には「総入れ歯」、部分的に歯を失った場合には「部分入れ歯」を使います。1本からでも作ることができます。また、入れ歯には保険が適用されるものと、自費で作るものがあり、あなたに合ったものを選ぶことができます。
他にも「ブリッジ」や「インプラント」という治療方法がありますが、歯を削るのが不安な方や、インプラントが合わない方は、入れ歯を考えてみるのも良い選択です。入れ歯はブリッジやインプラントに比べて噛む力が少し弱いこともありますが、後から他の治療法に切り替えやすいというメリットがあります。
当院では、あなたの大切な歯を守るために、最適な治療方法を提案していますので、気になることがあればぜひお気軽に相談してください。

歯ぐきのような柔らかさを持つシリコン加工が施された入れ歯は、痛みや噛みにくさ、外れやすさに悩んでいる方に適した技術です。生体用シリコンを加えることで、装着時の違和感が少なくなり、噛むときの負担を軽減しつつ吸着力を高めます。これにより、入れ歯の安定感が増し、食事や会話をよりスムーズに楽しめるようになります。

柔らかいシリコン素材が歯ぐきに優しくフィットし、装着時の痛みや不快感を軽減します。
シリコンの柔軟性によって、入れ歯が歯ぐきにしっかりと吸着し、ずれや外れを防ぎます。
柔らかい素材が噛む際の圧力を均等に分散させ、入れ歯への負担を軽減します。
入れ歯の安定性が向上するため、食事や会話がより快適に行えます。
シリコン素材が入れ歯と歯ぐきの密着を高め、入れ歯のずれや外れを減少させます。

まず、口の中の状態を確認し、必要に応じて治療の提案を行います。特に問題がなければ、柔らかい入れ歯の型取りを開始します。
かみ合わせが不安定な場合は、噛み合わせの記録を取り、安定していれば次のステップに進みます。
シリコン加工前の仮歯が完成します。約1週間装着していただき、普段通りの生活を送りながら歯ぐきの動きや形を確認します。
柔らかいシリコン加工を施すために、仮歯を一度お預かりします。
シリコン加工が完了した入れ歯を装着し、歯ぐきや口の動きに合わせて最終調整を行います。

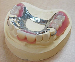
入れ歯にはいくつかの種類がありますが、その中に「金属床」というタイプがあります。これは、舌や上あごに当たる部分に金属が使われていて、保険は適用されません。一方、保険適用の入れ歯はプラスチック製で、強度を保つためにどうしても厚みが必要です。しかし、金属床は金属を使用しているため、強さはしっかりしているのに薄くて、あまり違和感がありません。それに、金属は熱を伝えやすいので、食べ物の味もより楽しめるというメリットがあります。
金属床の入れ歯は、しっかりしているのに薄く、装着しても違和感が少なく快適です。また、金属は熱をよく伝えるので、食事のときに食べ物の味をしっかり感じられるのも大きな魅力です。
保険が適用されないため、費用が高くなるのがデメリットです。また、金属部分はプラスチック製の入れ歯に比べて調整が難しいことがあり、装着後に微調整が必要になることもあります。

使用後は入れ歯を取り出し、ぬるま湯でよくすすいでください。食べかすやプラークを取り除くために、柔らかいブラシで優しくこすり洗いしましょう。

毎晩、入れ歯専用の洗浄剤を使って入れ歯を浸け置きしてください。そうすることで、細菌の繁殖を防ぎ、入れ歯を清潔に保つことができます。

入れ歯を掃除するときは、熱湯を使わないようにしましょう。高温のお湯は入れ歯を変形させることがあるので、注意が必要です。

入れ歯の状態は定期的にスタッフにチェックしてもらい、必要な調整やメンテナンスを受けることが大切です。
入れ歯が外れやすいと、食事やおしゃべりがしづらくなります。入れ歯をしっかり固定するために、自分の歯に小さなバネ(クラスプ)をかけて、入れ歯が外れないようにします。
入れ歯は歯ぐきの上に乗っているため、噛むと少し沈むことがあります。その沈み具合によっては歯ぐきが痛くなったり、傷ができたりすることもあります。しかし、入れ歯の底に小さな突起(レスト)をつけることで、沈むのを防ぐことができます。
食事や会話をしているときに入れ歯が揺れると、不快ですし、時には痛みを感じることもあります。定期的に調整して入れ歯のバランスを整えることで、しっかりと固定されて快適に使えるようになります。
これらのポイントをバランスよく整えることで、入れ歯がしっかり噛めて、さらに快適に使えるようになります。
※自由診療(保険対象外)






保険義歯
ノンクラスプデンチャー
煮沸消毒できない
煮沸消毒できる
普通の重さ
極めて軽量な樹脂「アルティメット」を使用
匂いがつく(レジンが匂いを吸収する)
匂いがつかない(レジンが匂いを吸収しない)
弾性がない
弾性があり、人肌に温まると柔らかくなる
金属部分が見える
金属が目立たず、設計によっては金属を使用しない
強度が低く、割れやすい
高い強度を持ち、割れにくく長持ちする

特徴
短所
ピンクの床が歯の根本を覆うため歯が短く見えやすい
素材
アルティメット樹脂

特徴
短所
歯肉退縮が大きな症例には向かない場合がある
素材
アルティメット樹脂

特徴
短所
一番高価
素材
アルティメット樹脂

特徴
短所
ワイヤーを何本か入れる必要がある
素材
熱可塑性樹脂アンカーアミド

特徴
短所
素材
熱重合レジン

特徴
短所
重い
素材
金属

入れ歯がしっかり合って正しく機能するために、お口全体を詳しく調べます。すでに入れ歯を使用されている方には、そのフィット感も確認します。

お口にトラブルが見つかった場合は、入れ歯の製作に入る前に治療を行います。問題が解決しないと、新しい入れ歯がすぐに合わなくなる可能性があるため、事前の治療が重要です。

入れ歯の型取りは、日常の口の動きに合わせて精密に行います。場合によっては複数回型取りを行う必要がありますが、入れ歯の製作において重要なステップです。

噛み合わせは身体全体のバランスを保つために大切です。失った歯のかみ合わせを新たに設計することは重要な工程です。

型取りや設計の過程では、どうしても誤差が生じることがあります。そのため、実際に入れ歯を口に装着して、微調整を行いながら最適な使い心地に仕上げていきます。

完成した入れ歯を装着して、最終調整を行います。長く快適にご使用いただくために、メンテナンスや定期検診についてのご案内も行います。
当院では、インプラントや入れ歯、そしてご自身の歯をできるだけ長く健康に保つために、予防歯科に力を入れています。
定期検診を受けることで、健康な歯を維持し、治療が必要になる前に予防することができます。
詳しくは、当院の予防歯科についての情報をご覧ください。
当院では、患者さまをできるだけお待たせしないために、診療は予約制となっております。まずは、お電話またはインターネット予約にて、予約をお取りください。
尚、急患の場合は、随時ご対応させていただきますので、痛みが酷い場合などはすぐにお電話にてご相談ください。
| 月 | 火 | 水 | 木 | 金 | 土 | 日 | |
|---|---|---|---|---|---|---|---|
| 9:30-13:00 | ● | ● | ● | ● | ● | ● | - |
| 14:00-18:00 | ● | ● | ● | ● | ● | ● | - |
| 休診日:日曜日 / 祝日 | |||||||
最終受付は診療終了の30分前
24時間受付